发布日期:2025-07-22 16:39 浏览次数:次
本文中提到的骨蜡 均为传统不可吸收骨蜡
【引言】
传统骨蜡是一种常用的骨止血材料,在骨科、神经外科、心胸外科等手术中被广泛应用,可以快速有效地封堵松质骨,减少术中出血量[1, 2, 3]。然而,近年来有多个临床报道表明,骨蜡在术后并非完全稳定,可能随着时间的推移发生迁移。这不仅可能影响原定手术部位的生物力学环境,还可能对邻近神经、血管或关节结构造成机械性挤压,进而引发疼痛、神经功能障碍或组织损伤等并发症。这种现象可能影响术后康复,甚至在某些情况下需要进一步手术干预。
【个案报道】
湘雅医院在2019年曾报道一个罕见的病例:一位51岁的患者因颅底脑膜瘤接受颅骨切除术,术中使用骨蜡封闭额窦。然而,如图1,患者术后3天出现左眼疼痛、肿胀、眼睑下垂及眼球突出的症状[4]。

图1 A. 患者左眼突出,眼睑下垂,眼睑肿胀;B. B超显示患者左眼眶有一椭圆形肿块,形状规则;C. 眼眶MRI示左侧眼眶上鼻侧低T1、T2信号团,呈规则椭圆形,未见强化,左侧视神经、上直肌、左眼球明显受压
影像学检查显示患者眼眶上鼻侧有一个规则、低密度的椭圆形肿块,明显压迫了左侧视神经、上直肌和左侧眼球。术后6个月,影像学检查显示骨蜡仍然占位挤压,患者眼球仍突出,视野无明显改善(图2)。

图2 A. 患者眼睑下垂情况;A-1. 术后3天;A-2. 术后1个月;A-3. 术后6个月;B. 左眼视野;B-1. 术后3天;B-2. 术后1个月;B-3. 术后6个月;C. MRI/CT检查;C-1. 术后3天;C-2. 术后1个月;C-3术后6个月
本例患者术前CT检查发现患者额窦基底部存在先天性骨缺损,怀疑为骨蜡迁移通道。不可吸收性是骨蜡迁移的主要原因,手术去除是解除骨蜡占位压迫的唯一办法,本例患者由于担心手术相关风险而拒绝二次手术,因而遭受了不可逆转的视力受损。
澳大利亚奥斯汀医院耳鼻喉头颈外科在2018年也报道了两个病例[5]:
病例1:一名 62 岁男性因复发性乳突腔感染接受二次手术,术中因乙状窦破裂使用骨蜡止血。术后 8 个月,患者出现耳后伤口骨蜡挤出,并伴随剧烈头痛、颅内压增高及乙状窦血栓。影像学检查(CT/MRI)证实病变存在,经两次手术清除骨蜡后,患者症状最终缓解。
病例2:一名 82 岁女性因颅底肿瘤接受乳突切除术,术中应用骨蜡止血。术后 5 个月,患者出现耳后溃疡并伴随骨髓炎,CT 显示局部骨质破坏。手术清创过程中发现骨蜡挤出,病理检查证实异物肉芽肿,同时存在铜绿假单胞菌及痤疮丙酸杆菌混合感染。
上述病例表明,术中使用骨蜡可能在术后发生迁移,同时,由于其不可吸收,对于人体来说是异物,因此会导致局部组织破坏、异物肉芽肿、感染等。这些并发症严重影响患者的康复过程,在多数情况下,患者需接受二次手术以清除残留的骨蜡及病变组织,不仅加重了经济负担,还使其经历额外的手术创伤和身体痛苦。
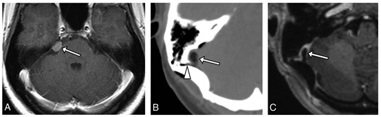
在颅骨手术止血方面,骨蜡也是常用的止血材料。然而,有文献报道骨蜡的使用可能会迁移至重要血管结构[6]。该研究回顾性分析了212例接受后颅窝手术(如乳突切除术、乙状窦后开颅术)并术后行CT及增强MRI检查的患者,结果发现有6例(2.8%)患者存在乙状窦骨蜡迁移情况(图3)。

图3 A. 轴位增强T1WI显示岩骨嵴处小脑膜瘤(箭头)。B. 术后轴位CT(无增强)显示乙状窦内低密度团块(约162 HU,箭头),邻近开颅手术区域,并延伸至乳突导静脉管(箭头头)。C. 术后轴位增强T1WI显示乙状窦内低信号填充缺损(箭头),符合骨蜡迁移特征,即使未使用脂肪抑制技术,信号仍然较低。
【总结】
骨蜡作为常用的止血材料,在骨科及神经外科等手术中应用广泛。然而,上述多篇临床报道表明,骨蜡在术后可能发生迁移,进而导致局部组织破坏、异物肉芽肿、感染、血栓形成及颅内压升高等等问题。部分病例显示,骨蜡迁移至乙状窦后,可引发乙状窦血栓,阻碍脑部静脉回流,进一步加重颅内压升高及神经功能损害。此外,骨蜡在某些情况下可通过组织溃破排出体外,但仍可能对患者造成长期不适,并增加再次手术的风险。因此,考虑到骨蜡不可吸收的特性,临床上应慎重使用,特别是在邻近重要血管和神经结构的部位。
【参考文献】
[1] Brown K G M, Solomon M J. Topical haemostatic agents in surgery[J]. British Journal of Surgery, 2024, 111(1): znad361.
[2] Do K, Vachirakorntong B, Kawana E, et al. The Use of Bone Wax in Hemostatic Control for Total Knee and Hip Arthroplasties: A Systematic Review[J]. Journal of Clinical Medicine, 2024, 13(10): 2752.
[3] Das J M. Bone wax in neurosurgery: a review[J]. World Neurosurgery, 2018, 116: 72-76.
[4] Zhou Y, Li M, Wei X, et al. Bone wax migrates to the orbit in a patient with a frontal sinus abnormality: a case report[J]. BMC ophthalmology, 2019, 19: 1-6.
[5] Baird S M, Teh B M, Lim K K M, et al. Bone wax extrusion through postauricular wounds: a case series[J]. The Laryngoscope, 2018, 128(2): 369-372.
[6] Byrns K, Khasgiwala A, Patel S. Migration of bone wax into the sigmoid sinus after posterior fossa surgery[J]. American Journal of Neuroradiology, 2016, 37(11): 2129-2133.